Известный украинский врач-инфекционист, доктор медицинских наук, профессор Ольга Голубовская сообщила о 13 подтверждённых в Украине случаях нового вируса — метапневмовируса.
Об этом она написала на своей странице в Facebook.
Голубовская, в частности, информирует, что метапневмовирус человека (HMPV) может вызывать заболевания верхних и нижних дыхательных путей у людей любого возраста, особенно среди маленьких детей, пожилых людей и людей с ослабленной иммунной системой.
«В настоящее время, по данным ЦОС, в Украине с начала сезона зарегистрировано 13 официально подтверждённых случаев. Конечно, реально их больше. Заражение происходит капельным путём, эпизоды могут повторяться в течение жизни. Заболевание чаще лёгкое (насморк, кашель), но может быть тяжёлым с развитием фульминантной (быстро прогрессирующей) дыхательной недостаточности. Последний вариант ранее наблюдался у пациентов с ослабленным иммунитетом», — пишет Голубовская.
Ориентировочный инкубационный период – от трёх до шести дней, а средняя продолжительность заболевания может изменяться в зависимости от тяжести в среднем 7–10 дней.
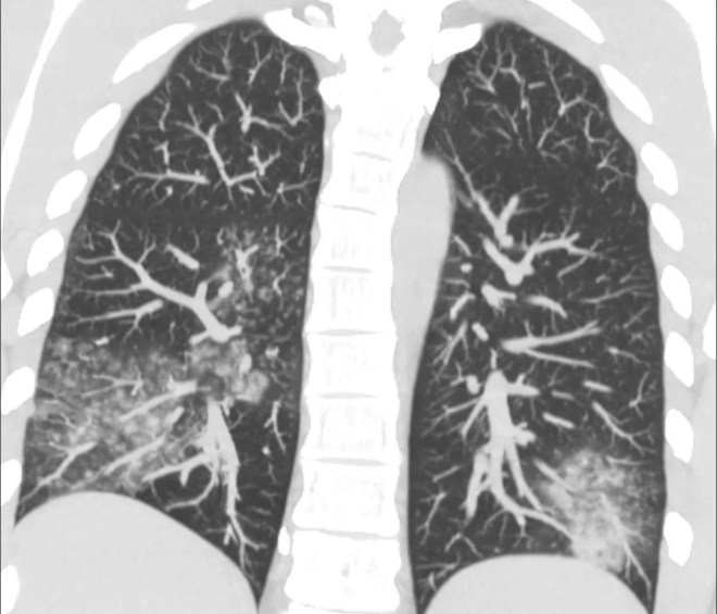
«Рентгенологические изменения неспецифичны: «матовое стекло», ателектазы, гиперраздутые лёгкие, иногда – консолидация. Чаще двусторонние поражения (смотрите фото)», — информирует инфекционист.

По мнению Голубовской, ситуация с этим заболеванием — «это отражение процессов эволюции и адаптации микроорганизмов, которые пользуются изменённым иммунным ландшафтом вследствие пандемии COVID-2019, по сути, является системной иммунной болезнью. Также отрицательно повлияли на нашу толерантность к инфицированию многими широко распространёнными возбудителями длительные массовые локдауны, мы не контактировали друг с другом, а иммунные реакции начинаются с местных факторов защиты.
Первая волна расплаты за это началась в позапрошлом году с трагической вспышки RSV-инфекции в мире, мы об этом неоднократно рассказывали на своих мероприятиях. Так, отделения неотложной помощи в США сезона 2023–2024 годов были переполнены больными детьми до одного года этим заболеванием. Мы также наблюдали его рост у пожилых людей. Поскольку HMPV является «братом» RSV, настал его черёд. Кстати, отечественные специалисты, например профессор Андрей Волянский, прогнозировали вспышки обычных респираторных заболеваний после завершения ограничительных мер. Что мы сейчас и наблюдаем».
Голубовская призывает, «во-первых, не паниковать. Ещё раз: фактор времени – решающий для тактики ведения больных. При возникновении респираторного заболевания, особенно. у групп риска, желательно его подтвердить. Среди всех ОРВИ наиболее опасными были грипп и COVID-19. Сейчас к тестированию следует добавлять и метапневмовирус, особенно у госпитализированных больных, ресурс есть. Если вы заболели – правильно измеряйте сатурацию крови пульсоксиметром».
Во-вторых, по мнению врача, обычная профилактика инфекции заключается в избежании/уменьшении рисков воздушно-капельной передачи (ограничение контакта с больными респираторными заболеваниями, особенно групп риска, мытьё рук, проветривание помещений, влажная уборка).
«Всё это, конечно, не гарантирует заражения, но мы помним, что всё дело в дозе возбудителя, который на вас «нападает»: чем она меньше, тем больше шансов иметь нетяжёлое заболевание».
В-третьих, «всеобщая рекомендация. Следите за своим здоровьем, своевременно диагностируйте патологию (например, синдром инсулинорезистентности, патологию щитовидной железы), принимайте витамины, особенно Д (по назначению врача). У многих его недостаточность или дефицит, а он, в частности, является гормоном иммунной системы.
«Просьба к врачам – не медлите с госпитализацией, если больной ежедневно прогрессирует. Помните, что тяжесть течения оценивают не только и не столько по показателям температуры, как по общему состоянию больного, особенно, групп риска. Считается, что сопутствующие инфекции с другими вирусами или бактериями могут быть триггером тяжёлого течения заболевания, поэтому применение эмпирической противовирусной терапии препаратами широкого спектра действия может быть обосновано», — резюмирует Ольга Голубовская.
Кстати. Китаем распространяется метапневмовирус, некоторые больницы уже переполнены, — сообщает издание Мета со ссылкой на The Independent.

По данным Одесского областного центра контроля и профилактики болезней на 2 января 2025 года, заболеваемость гриппом и острыми респираторными вирусными инфекциями (ОРВИ) соответствовала сезонному уровню. Интенсивный показатель по области на 100 тысяч населения составил 301,0 а затем ниже эпидемического порога (532,05) на 43,4%, что соответствует низкому уровню интенсивности эпидпроцесса.
Отмечается, что показатель госпитализации больных снизился на 5,4%. Среди госпитализированных превалировали дети (до 79%). На прошлой неделе зарегистрирован 1 летальный случай (взрослый), у больного были сопутствующие хронические заболевания. С начала эпидсезона зарегистрировано 2 летальных исхода (взрослые) с положительным результатом теста на COVID-19. По данным вирусологических исследований биоматериала от больных наблюдалась циркуляция вирусов не гриппозной этиологии (адено-, рино- и метапневмовирусы).
Больше новостей на нашем Telegram-канале: https://t.me/+K3QIJDVwDQhmNDMy





